近年来,南京医科大学基础医学院疼痛研究团队和山东第一医科大学临床肿瘤专家积极展开合作,围绕着化疗性肠炎进行了前瞻性的探索。近日,题为AMPK activation by ozone therapy inhibits tissuefactor-triggered intestinal ischemia and ameliorates chemotherapeutic enteritis的论文发表于《FASEB J》杂志上。该研究首次提出TF介导的肠道缺血性损伤是诱发化疗性肠炎的核心机制,医用臭氧疗法可通过激活AMPK/SOCS3抑制CPT-11诱导的TF高表达,进而改善肠道缺血损伤,为化疗性肠炎提供了一种新的治疗策略。
01 研究背景
化疗药物引起的胃肠炎是临床上化疗药物引起的最常见的副作用之一,临床中接受化疗的肿瘤患者中大约5-15%的病人会出现胃肠炎症。临床上主要表现为纳差、恶心呕吐及严重的腹痛、腹泻等一系列消化系统的综合症状,是临床上导致化疗药物减药甚至停药的重要原因,严重影响了化疗药物的治疗效果。同时也使得接受化疗的肿瘤患者的生活质量进一步下降,可导致化疗疗效的下降甚至失败,死亡率明显增加。
化疗性肠炎给临床抗肿瘤治疗带来极大的挑战,给肿瘤患者带来沉重的负担,然而目前临床上仍没有安全有效的预防或治疗方案。临床研究显示,肠缺血性损伤在化疗性肠炎中发挥重要作用。伊立替康(CPT-11)是晚期大肠癌的一线化疗药物,并且可用于术后的辅助化疗,然而在含有CPT-11的化疗方案中,化疗性肠炎的发病率高达83%。因此,研究人员采用CPT-11建立了化疗性肠炎小鼠模型,深入探讨了其发病机制,同时希望可以开发出一种新的治疗策略。


02 研究思路
1. CPT-11可诱导ICR小鼠产生化疗性肠炎
通过小鼠体重变化、DAI评分以及组织学评估,研究人员发现CPT-11(20mg/kg. i.p.)可以诱导血浆及肠道中MMP-9水平显著升高,出现肠粘膜坏死等病理性改变。

Fig 1.CPT-11诱导ICR小鼠产生化疗性肠炎
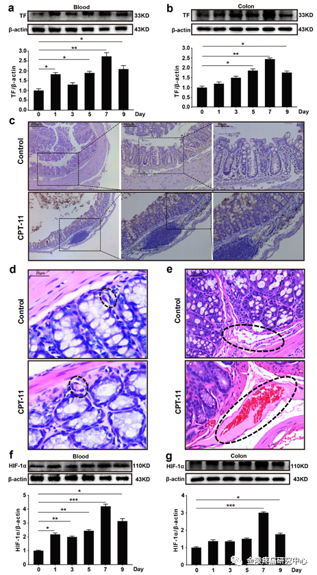
2. CPT-11在化疗性肠炎中诱导TF触发血栓性缺血性肠损伤
本研究进一步发现CPT-11模型中小鼠血液和结肠中组织因子(TF)的表达均显著升高。TF是一种通过外源性凝血途径启动血液凝结的膜结合糖蛋白,通常在成纤维细胞,平滑肌细胞,单核细胞和巨噬细胞上表达,并在血管或组织受损时参与止血。在未受刺激的单核细胞或内皮细胞中,TF的基本表达水平较低。但在化疗过程中,TF的表达迅速上调。到目前为止,尚无研究探讨TF诱发的血栓形成与化疗性肠炎之间的关系。
本研究证实CPT-11模型中小鼠血液和结肠中TF表达均显著升高。为了进一步确定TF在化疗性肠炎小鼠中的组织定位,研究人员对肠中的TF进行了免疫组织化学染色。数据显示,在内皮细胞,肠上皮细胞和浸润的免疫细胞上观察到TF呈现高表达。肠道HE染色结果表明,CPT-11可以诱导小鼠肠道微血栓和混合型血栓形成。与TF表达升高一致的是,缺血缺氧损伤相关指标HIF-1α的表达也经CPT-11诱导上调,提示CPT-11诱导的血栓形成与TF、HIF-1α高表达是正相关。

Fig 2. CPT-11在化疗性肠炎中诱导TF触发血栓性缺血性肠损伤
3. 医用臭氧通过减轻TF触发的血栓性肠缺血性损伤改善化疗性肠炎
由于化疗损伤的肠道局部伴有明显缺血缺氧,研究人员探讨了医用臭氧治疗化疗性肠炎的可能性。结果发现,腹腔注射医用臭氧对CPT-11小鼠模型中的体重减轻、DAI评分的增加和肠道缩短等指标均有所缓解。HE染色结果显示,医用臭氧以剂量依赖性的方式显著减轻了肠粘膜损伤。此外,医用臭氧还可以降低肠道中MMP-9的活性。

Fig 3. 医用臭氧通过减轻TF触发的血栓性肠缺血性损伤改善化疗性肠炎
4. 医用臭氧改善了CPT-11触发的化疗性肠炎小鼠的缺血-缺氧损伤
为了进一步探讨医用臭氧治疗的作用机制是否与改善肠道微环境缺氧有关,研究人员检测了缺血缺氧相关的指标。结果表明,医用臭氧可以显著抑制肠道和血液中TF的高表达。激光多普勒成像技术检测显示,化疗性肠炎小鼠的肠道血流减慢,而医用臭氧预处理可以逆转这种变化。另外,医用臭氧也可以显著抑制缺血缺氧损伤指标HIF-1α的表达。

Fig 4. 医用臭氧改善了CPT-1触发的化疗性肠炎小鼠的缺血-缺氧损伤
5. 医用臭氧可以改善癌症患者血液的高凝状态
除了观察医用臭氧在整体动物水平和细胞水平的疗效,为进一步验证医用臭氧对化疗性肠炎的改善效果,研究人员筛选了62例肿瘤患者(其中35例患者未接受臭氧治疗,27例患者接受臭氧治疗)进行分析。结果表明医用臭氧自体血疗法可以有效改善肿瘤患者的化疗性肠炎,并且临床相关指标显示医用臭氧疗法可以通过减少D-二聚体和纤维蛋白原降解产物(FDP),进而降低患者的血液高凝性。

Fig 5. 医用臭氧可以改善癌症患者血液的高凝状态
6. 医用臭氧通过激活AMPK / SOCS3抑制TLR-4 / p38途径诱导的TF表达
研究人员利用RAW264.7细胞在体外进一步探究了化疗性肠炎的分子机制以及医用臭氧治疗的作用机制。结果表明CPT-11通过TLR-4/p38途径诱导TF高表达,而医用臭氧疗法通过激活AMPK,诱导SOCS3表达增加,可抑制TLR-4/p38途径介导的TF升高。

Fig 6. 医用臭氧通过激活AMPK/SOCS3抑制TLR-4/p38途径诱导的TF高表达
03 研究结论与总结
本研究是近年来关于医用臭氧治疗机制较为深入的文章之一,首次提出了肠道缺血性损伤是化疗性肠炎的核心机制。不仅在动物水平和细胞水平阐明医用臭氧疗法的作用机制,还进行了临床转化,为化疗性肠炎的临床治疗提供了一个新的靶点,也为医用臭氧治疗开辟了一个新思路。

参考文献
QingqingYu, XingYang, ChenZhang, XiaotaoZhang, ChaoyuWang, LuChen, XiaolinLiu, YufengGu, XuemingHe, LiangHu#, Wen-TaoLiu#, YanLi#. AMPK activation by ozone therapy inhibits tissuefactor-triggered intestinal ischemia and ameliorates chemotherapeuticenteritis. FASEB J. 2020;00:1–17.
本论文的研究团队是南京医科大学基础医学院的刘文涛教授课题组和山东第一医科大学第一附属医院的李岩教授课题组,欢迎交流合作。
(供稿/刘文涛教授课题组)





